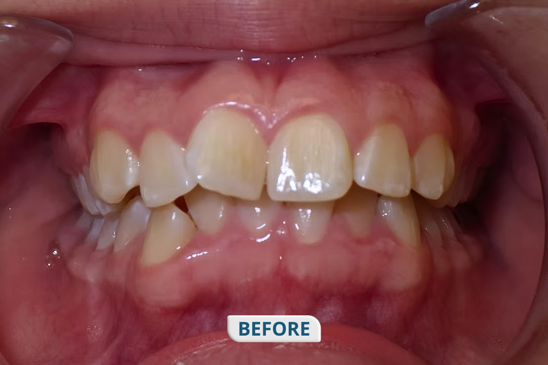
Braces & Orthodontic Care
Professional orthodontic treatment for teens and adults. Affordable plans, easy installments, and expert care for your beautiful smile.
Limited time discounts on premium orthodontic treatments. Book your appointment now and transform your smile!