🕒 চেম্বার: শনিবার - বৃহস্পতিবার | ⏰ সময়: ৯টা–১টা & ৫টা–৯টা | ❌ বন্ধ: শুক্রবার | 📍 ঠিকানা: ফুলদিঘী রোড, কলোনী, বগুড়া | 💬 WhatsApp: চ্যাট করুন | 📅 অ্যাপয়েন্টমেন্ট নিন

Real Smile Transformations in Bogura – Before & After Results

Discover how patients at Namira Oro Dental Care regained their confident smiles through braces, veneers, whitening, and more.

Namira Oro Dental Care Chamber Real Chamber View

আমাদের চেম্বারে কী ধরণের ট্রিটমেন্ট হয়?

আমাদের Namira Oro Dental Care-এ আধুনিক প্রযুক্তির মাধ্যমে বিশ্বমানের ডেন্টাল চিকিৎসা প্রদান করা হয়। আমাদের বিশেষজ্ঞ টিম প্রতিটি রোগীর প্রয়োজন বুঝে নিচের সেবাগুলো দিয়ে থাকেন: ✔️ Braces Treatment: দাঁতের সঠিক অবস্থান ও সৌন্দর্য ফিরিয়ে আনতে আধুনিক ব্রেস সিস্টেম ব্যবহার করা হয়। ✔️ Root Canal Therapy: দাঁতের শিকড়ে ইনফেকশন হলে সেটি পরিষ্কার ও রক্ষা করার জন্য উন্নত Root Canal চিকিৎসা প্রদান করা হয়। ✔️ Veneer Treatment: দাঁতের সামনের অংশে পাতলা কভার বসিয়ে ঝকঝকে ও সুষম হাসি ফিরিয়ে দেওয়া হয়। ✔️ Scaling & Polishing: দাঁতের ময়লা ও দাগ দূর করে দাঁতের স্বাস্থ্য ও সৌন্দর্য বজায় রাখা হয়। ✔️ Tooth Replacement & Crown: ভাঙা বা হারানো দাঁতের পরিবর্তে কৃত্রিম দাঁত বা মুকুট বসানো হয়। ✔️ Children’s Dental Care: শিশুদের দাঁতের সমস্যা যেমন ক্যাভিটি, মাড়ির ব্যথা ইত্যাদির জন্য আলাদা যত্ন ও ট্রিটমেন্ট। ✔️ Dental Bridge & Fillings: দাঁতের ফাঁকা জায়গা পূরণ এবং ক্ষয় রোধে ফিলিং করা হয়। আমাদের প্রতিটি ট্রিটমেন্ট নিরাপদ, ব্যথাহীন এবং রোগীর আরামকে সর্বোচ্চ গুরুত্ব দিয়ে পরিচালিত হয়। রোগীর আস্থা ও হাসিই আমাদের সবচেয়ে বড় অর্জন।

🎯 Treatment Gallery তে আপনি যা দেখতে পাবেন:

✔️ Before & After ছবি (রোগীর অনুমতি সাপেক্ষে) | ✔️ Braces Treatment এর ধাপে ধাপে উন্নতি | ✔️ Smile Makeover এর বাস্তব উদাহরণ | ✔️ Real-time Case History ও ফলাফল |

|| এই পেইজটি শুধুমাত্র নতুন রোগীদের জানার জন্য — যেন তারা বুঝতে পারেন, আমাদের চেম্বারে আগে কী কী কাজ হয়েছে এবং তারা কী ধরনের চিকিৎসা আশা করতে পারেন ||

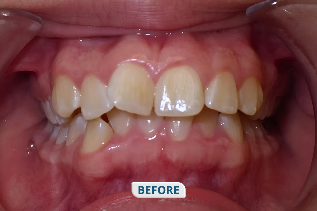
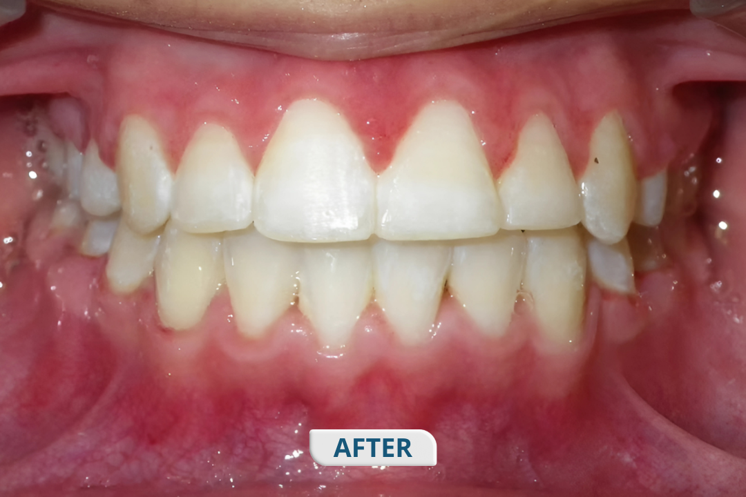
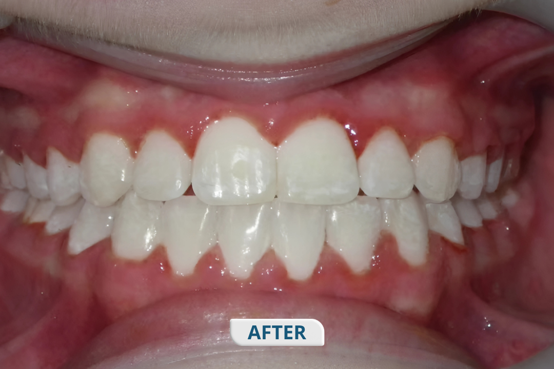
Before treatment at Namira Oro Dental Care After treatment at Namira Oro Dental Care
Show Details

Braces Treatment

Start Date: January 2024

Duration: 11 months

Visible Improvement: After 3 months

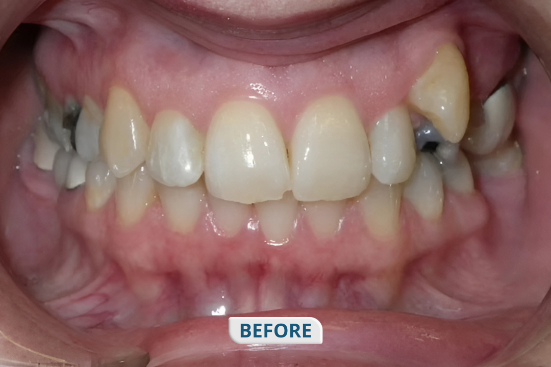
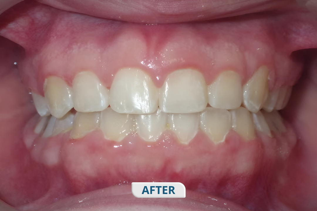
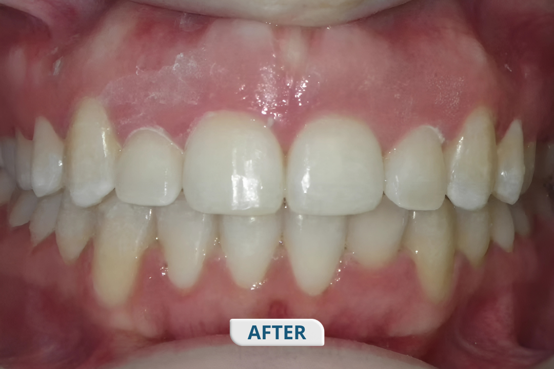
Before treatment at Namira Oro Dental Care After treatment at Namira Oro Dental Care
Show Details

Braces Treatment

Start Date: Fabruary 2024

Duration: 1 year

Visible Improvement: After 4 months

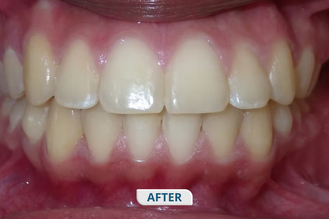
Before treatment at Namira Oro Dental Care After treatment at Namira Oro Dental Care
Show Details

Braces Treatment

Start Date: March 2024

Duration: 11 months

Visible Improvement: After 4 months

Before treatment at Namira Oro Dental Care After treatment at Namira Oro Dental Care
Show Details

Braces Treatment

Start Date: January 2025

Duration: 9 months

Visible Improvement: After 3 months

Before treatment at Namira Oro Dental Care After treatment at Namira Oro Dental Care
Show Details

Braces Treatment

Start Date: July 2024

Duration: 1 year

Visible Improvement: After 3 months

Before treatment at Namira Oro Dental Care After treatment at Namira Oro Dental Care
Show Details

Braces Treatment

Start Date: April 2024

Duration: 1 year

Visible Improvement: After 3 months

Before treatment at Namira Oro Dental Care After treatment at Namira Oro Dental Care
Show Details

Braces Treatment

Start Date: May 2024

Duration: 11 months

Visible Improvement: After 3 months

Before treatment at Namira Oro Dental Care After treatment at Namira Oro Dental Care
Show Details

Braces Treatment

Start Date: June 2024

Duration: 1 year

Visible Improvement: After 4 months

Before treatment at Namira Oro Dental Care After treatment at Namira Oro Dental Care
Show Details

Braces Treatment

Start Date: Agust 2024

Duration: 1 year

Visible Improvement: After 3 months

Before treatment at Namira Oro Dental Care After treatment at Namira Oro Dental Care

Dental Bridge

Start Date: January 2025

Duration: 1 months

Visible Improvement: After 2 Week

Patient Feedback: “My smile is so much better now!”

Baby-Teeth-Extraction at Namira Oro Dental Care Baby-Teeth-Extraction at Namira Oro Dental Care

Baby Teeth Extraction

Start Date: January 2024

Duration: 10 Minutes

Visible Improvement: After Treatment

Patient Feedback: “My smile is so much better now!”

Before treatment at Namira Oro Dental Care After treatment at Namira Oro Dental Care

Braces Treatment

Start Date: September 2024

Duration: 9 months

Visible Improvement: After 3 months

Patient Feedback: “My smile is so much better now!”

Real Smile Transformations

নামিরা ওরো ডেন্টাল কেয়ারে আমরা আধুনিক চিকিৎসার মাধ্যমে রোগীদের দাঁতের সৌন্দর্যআত্মবিশ্বাস ফিরিয়ে আনার জন্য সততার সাথে কাজ করে যাচ্ছি। আমাদের ট্রিটমেন্ট গ্যালারিতে আগের রোগীদের Before & After ইমেজ রয়েছে, যা দেখে আপনি চিকিৎসার কার্যকারিতাবাস্তব ফলাফল সম্পর্কে স্পষ্ট ধারণা নিতে পারবেন।

Braces before and after result in Bogura Real Chamber View

Your Smile, Our Priority

আমরা প্রতিটি রোগীর হাসিকে সবচেয়ে বেশি গুরুত্ব দিই – কারণ একটি সুন্দর হাসিই আত্মবিশ্বাসের মূল।

Teeth whitening before after Real Chamber View

Confidence Begins with a Healthy Smile

সুস্থ ও পরিপাটি দাঁতের মাধ্যমে আত্মবিশ্বাস গড়ে ওঠে, আর আমরা সেই হাসির রক্ষণাবেক্ষণ নিশ্চিত করি।

Teeth whitening before after Real Chamber View

Transforming Smiles, Changing Lives

আমরা শুধু দাঁতের চিকিৎসাই করি না – আমরা হাসির মাধ্যমে জীবন বদলে দেওয়ার লক্ষ্য নিয়ে কাজ করি।

Dental-surgery-Namira-Oro-Dental-Care - Best Dental care in Bogura filling-treatment-running-patient1-bogura-upper-right-tooth filling-treatment-running-patient2-bogura Smile Makeover - Namira Oro Dental Care

Disclaimer

All treatment images shown on this website are published with prior consent from the patients. These photos are collected strictly to illustrate the before and after results of various dental treatments. We respect patient confidentiality, and no images are shared without proper permission.