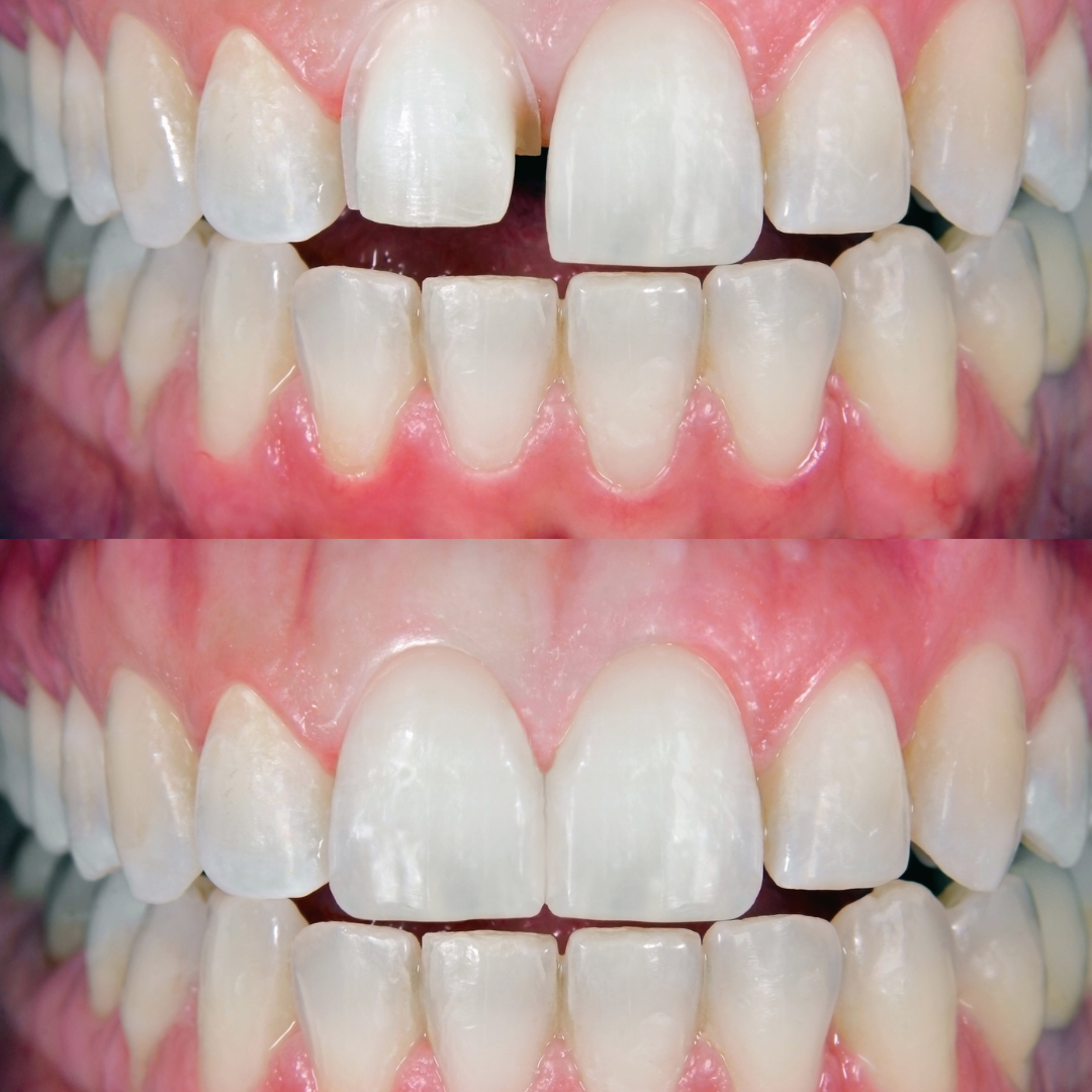
সামনের ফাঁকা দাঁতের চিকিৎসা ~ মিড-লাইন ডায়েসটেমা - ছোটবেলার ফোকলা দাঁতের হাসি মায়ের মনকে আনন্দে ভরিয়ে তোলে। কিন্তু পরিণত বয়সে যখন নিজেকে সেই ফোকলা দাঁতের অনুভূতি নিয়ে হাসতে হয়, তখন আর কষ্টের সীমা থাকে না।

🟢পেছনের দিকের দাঁতের মাঝে ফাঁকা থাকার কারণে খাদ্য আটকে নানা রকম সমস্যা দেখা দিলেও সৌন্দর্যের দিক দিয়ে খুব একটা সমস্যার সৃষ্টি হয় না। 🟢 কিন্তু এ ফাঁকাটি যদি আমাদের সামনে দুটো দাঁতের মাঝখানে হয়, তবে তা সৌন্দর্য রক্ষায় বড় একটা খুঁত হিসেবে দেখা দেয়। 🟢 আমাদের ওপরের মাড়ির সামনের যে দুটো দাঁত অপেক্ষাকৃত একটু বড় (চারকোনার মতো), সেই দুটো দাঁতের মাঝে কারো কারো বেলায় একটি বিশেষ ফাঁকা লক্ষ করা যায়। জন্মগতভাবেই এ ত্রুটি চোখে পড়ে। 🟢 এ ধরনের ফাঁকাকে ডেন্টাল সার্জনরা ডায়াস্টিমা বলে থাকেন। 🟢 ডায়াস্টিমা প্রকৃতিগতভাবে স্থায়ীভাবে তাদের একটি সমস্যা। কিন্তু এর জন্য বস্তুত কেউই দায়ী নয়। সমস্যা থাকলে তার সমাধান নিশ্চয়ই আছে।

🟢 ডেন্টাল সার্জনরা খুবই নিয়মতান্ত্রিক ও সহজ কিছু চিকিৎসা পদ্ধতির মাধ্যমে এ সমস্যার সমাধান দিয়ে থাকেন। সাধারণত তিন ধরনের চিকিৎসা পদ্ধতিতে এর সমাধান করা হয়।

  1. ব্রেসেস অর্থোডোনটিক চিকিৎসা পদ্ধতি (Brace’s Orthodontic Treatment)
    🟢 অর্থোডোনটিক চিকিৎসা পদ্ধতি, যেখানে ব্রেসেস নামক বন্ধনীর সাহায্যে এ বিশেষ ফাঁকা জায়গা কমিয়ে আনা যায়। 🟢 এটি একটু ব্যয়বহুল। তবে পোরসেলিন ভেনিয়ার অপেক্ষাকৃত স্বল্পমূল্যের চিকিৎসা পদ্ধতি। যাকে ইনস্ট্যান্ট অর্থোডোনটিক চিকিৎসা বলা হয়।
    14
  2. কম্পোজিট ভেনিয়ার (Composite Veneer’s)
    🟢 এখানে অত্যাধুনিক কম্পোজিট দিয়ে লেজার রে-এর মাধ্যমে কসমেটিক ফিলিং করা হয়। যা এখন জনপ্রিয়। আমরা ইউএসএ-এর লেজার ফিলিং ব্যবহার করে থাকি, যা ওয়ার্ল্ড নাম্বার ওয়ান। 🟢 সাথে থাকছে ২ বছরের ওয়ারেন্টি।
    14
  3. কনভেনশনাল ক্রাউন ও ব্রিজ (Conventional Crown & Bridge’s)
    🟢 অন্যান্য উন্নত দেশের তুলনায় আমাদের দেশের দুটো পদ্ধতির ব্যয় কম হলেও, সবচেয়ে স্বল্পমূল্যের ও স্বল্পসময়ের পদ্ধতিটি হলো কনভেনশনাল কম্পোজিট ভিনিয়ার। 🟢 এটি খুবই চমৎকার একটি পদ্ধতি। অনেক সময় এটি পোরসেলিন ভেনিয়ার থেকে বেশি কার্যকর।
    14
...
ডায়াস্টিমার সমস্যার সমাধান এখন আপনার হাতের নাগালে!

সৌন্দর্যহীনতার সঙ্গে সঙ্গে আপনি যেন ব্যক্তিত্বহীনতায় আক্রান্ত না হয়ে পড়েন, সে জন্য অভিজ্ঞ একজন ডেন্টাল ডাক্তারের সঙ্গে পরামর্শ করে, আপনার আর্থিক সামর্থ্য অনুযায়ী যে কোনো একটি চিকিৎসা পদ্ধতি গ্রহণ করতে পারেন। ডা. শামস-উল ইসলাম (জাকারিয়া) স্যার দাঁতের নানা সমস্যার সঠিক সমাধান দিয়ে থাকেন।

Last updated 1/1/2025

  • দাঁতের ভিড়
  • আঁকাবাঁকা বা মিসলাইন দাঁত
  • ওভারবাইট বা আন্ডারবাইট
  • অসম চোয়াল
  • দাঁতের সঠিক প্রান্তিককরণে সমস্যা
প্রয়োজনীয় শেষ কথাটিঃ

Namira Oro Dental Care - এ আমরা সর্বোচ্চ যত্ন এবং মনোযোগের সঙ্গে কম্পোজিট ভিনিয়ার ~ মিডলাইন ডায়াসটেমা এবং অন্যান্য ডেন্টাল ট্রিটমেন্ট প্রদান করি। আমাদের সেবার ধাপগুলো:

  1. প্রাথমিক পর্যবেক্ষণ: রোগীর দাঁত এবং চোয়ালের সমস্যা পর্যালোচনা।
  2. পরামর্শ প্রদান: কোন ট্রিটমেন্ট প্রয়োজন, কতদিন লাগবে, খরচ এবং সম্ভাব্য ঝুঁকি সম্পর্কে বিস্তারিত আলোচনা।
  3. রোগীর মতামত: রোগীর সম্মতি নিয়ে ট্রিটমেন্ট শুরু।
  4. নিরাপদ এবং মানসম্মত সেবা: সর্বোচ্চ পেশাদারিত্বে প্রতিটি ধাপ সম্পন্ন করা।
Namira Oro Dental Care Bogura: দাঁতের সেবায় বগুড়ার সেরা Dental Care

আপনার দাঁতের যে কোনো সমস্যার জন্য নির্ভরযোগ্য ও আধুনিক চিকিৎসার ঠিকানা Namira Oro Dental Care আমরা সর্বোচ্চ মানের সেবা নিশ্চিত করতে প্রতিশ্রুতিবদ্ধ এবং প্রতিটি রোগীর জন্য কাস্টমাইজড ট্রিটমেন্ট প্ল্যান প্রদান করে থাকি। আমাদের অভিজ্ঞ অর্থোডন্টিস্ট এবং বিশেষজ্ঞ চিকিৎসক দল প্রতিটি রোগীর জন্য উন্নতমানের পরিষেবা ও যথাযথ সমাধান প্রদান করেন।

  • আমাদের সেবা সমূহঃ
  1. ফিক্সড ব্রেসেসের মাধ্যমে আঁকাবাঁকা দাঁত সোজা করা।
  2. ইনভিজালাইন (অদৃশ্য ব্রেসেস) ব্যবহার করে দাঁত সোজা করা।
  3. রিটেইনার ব্যবহার করে দাঁতের অবস্থান স্থায়ী করা।
  1. হারানো দাঁতের স্থানে প্রাকৃতিক দাঁতের মতো ইমপ্ল্যান্ট স্থাপন।
  2. টাইটানিয়াম ইমপ্ল্যান্ট ব্যবহার করে দাঁতের স্থায়ী সমাধান।
  1. দাঁতের অভ্যন্তরীণ সংক্রমণ বা ক্ষতির চিকিৎসা।
  2. দাঁতের শিকড় পরিষ্কার ও সিল করা।
  1. ক্ষতিগ্রস্ত দাঁতের উপর ক্যাপ স্থাপন।
  2. হারানো দাঁতের স্থানে ব্রীজ ব্যবহার করে দাঁত পুনঃস্থাপন।
  1. স্বাভাবিক দাঁতের মতো ব্যবহারযোগ্য নরম ডেনচার।
  2. আরামদায়ক এবং টেকসই সমাধান।
  1. সাধারণ পদ্ধতিতে দাঁত উঠানো।
  2. সার্জিকেল পদ্ধতিতে জটিল দাঁত উঠানো।
  1. লাইট কিউর ফিলিং: আধুনিক পদ্ধতিতে দাঁতের গর্ত ভরাট করা।
  2. কম্পোজিট ফিলিং: প্রাকৃতিক রঙের ফিলিং ব্যবহার করে দাঁতের সৌন্দর্য বজায় রাখা।
  1. দাঁতের প্লাক ও টার্টার পরিষ্কার করা।
  2. দাঁত মসৃণ ও উজ্জ্বল করা।
  1. লেজার টুথ হোয়াইটেনিং: দ্রুত ও কার্যকরী পদ্ধতি।
  2. হোম ব্লিচিং: ঘরে বসে দাঁত সাদা করার পদ্ধতি।
  1. মাড়ির রোগ (জিনজিভাইটিস, পেরিওডোন্টাইটিস) চিকিৎসা।
  2. মুখের ক্ষত ও ঘা এর চিকিৎসা।
  1. দাঁত ও মুখ গহব্বরের টিউমার ও সিস্ট অপসারণ।
  2. জটিল দাঁত উঠানো ও সার্জিকেল চিকিৎসা।
  1. শিশুদের দাঁতের যত্ন ও চিকিৎসা।
  2. ফ্লোরাইড ট্রিটমেন্ট ও সিলান্ট প্রয়োগ।
  1. আকস্মিক দাঁতের ব্যথা বা আঘাতের চিকিৎসা।
  2. দাঁত ভেঙে গেলে বা পড়ে গেলে তাৎক্ষণিক সমাধান।
  • আমাদের ডেন্টাল বিশেষজ্ঞঃ
...
Namira Oro Dental Care Bogura

আমাদের প্রধান ডেন্টাল সার্জন ডা. শামস-উল ইসলাম (জাকারিয়া) , যিনি অত্যন্ত অভিজ্ঞ এবং দক্ষ একজন বিশেষজ্ঞ।

  • ডিগ্রি: বিডিএস (রংপুর ডেন্টাল কলেজ), পিজিটি (ঢাকা ডেন্টাল কলেজ)।
  • বিশেষ দক্ষতা: অর্থোডন্টিক ট্রিটমেন্ট, ডেন্টাল ইমপ্ল্যান্ট, এবং ম্যাক্সিলোফেসিয়াল সার্জারিতে বিশেষ প্রশিক্ষণপ্রাপ্ত।
  • রেজিস্ট্রেশন নং: বিএমডিসি-৯৪৮৯
বন্ডিং ট্রিটমেন্ট একটি দাঁতের পুনর্গঠন প্রক্রিয়া!

যা বিশেষ টুথ-কালার রেজিন ব্যবহার করে দাঁতের ফাটল, ক্ষয়, চিপ বা রঙ পরিবর্তন মেরামত করে। এটি দাঁতের ফাঁক বন্ধ করতেও সাহায্য করে।

// Understanding 20 Common Dental Procedures //

Dental Check-ups and Cleaning

Regular dental check-ups form the basis of dental care, involving a detailed examination of the teeth, gums, and mouth.

Oral Cancer Screening

This is a crucial part of a dental check-up.

  • 01 Jan 2025
Fluoride Treatment

To strengthen teeth and prevent decay.

  • 01 jan 2025
Digital X-rays

X-rays are essential in dentistry to detect problems not visible to the naked eye. Digital X-rays, an advancement over traditional methods, use less radiation and provide immediate.

Wisdom Teeth Management

Wisdom teeth, or third molars, often emerge in the

  • 01 Jan 2025
Inlays and Onlays

Also known as indirect fillings, these treatments

  • 01 Jan 2025

// Namira Oro Dental Care Bogura //

// The Different Types of Dental Treatments //

Preventative Dental Treatments

Preventative dental treatments aim to prevent dental problems from occurring in the first place.

Restorative Dental Treatments

Restorative dental treatments aim to restore damaged or decayed teeth to their natural function and appearance.

Cosmetic Dental Treatments

Cosmetic dental treatments aim to improve the appearance of teeth and give patients a more attractive smile.

Orthodontic Dental Treatments

Orthodontic dental treatments aim to straighten teeth and improve bite function. Here are some common orthodontic dental treatments: