দাঁত আমাদের শরীরের অন্যতম গুরুত্বপূর্ণ অংশ। এটি শুধু খাবার চিবিয়ে হজমের প্রক্রিয়াকে সহজ করে না, বরং সৌন্দর্য ও আত্মবিশ্বাসের প্রতীকও বটে। তবে নানা কারণে দাঁত ভেঙে যেতে পারে, যা ব্যথার কারণ হতে পারে এবং সংক্রমণের ঝুঁকি বাড়াতে পারে। তাই দাঁত ভাঙার কারণ ও এর সম্ভাব্য চিকিৎসা সম্পর্কে জানা জরুরি।

  • দুর্ঘটনা ও আঘাত: যেকোনো দুর্ঘটনায় মুখে আঘাত লাগলে দাঁত ভেঙে যেতে পারে। বিশেষত সাইকেল, মোটরসাইকেল বা গাড়ি দুর্ঘটনার সময় এ ধরনের সমস্যা বেশি দেখা যায়।
  • শক্ত খাবার চিবানো: খুব শক্ত খাবার যেমন হাড়, বরফ, শক্ত ক্যান্ডি বা বাদাম কামড়ানোর ফলে দাঁতে চাপ পড়ে এবং দাঁত ভেঙে যেতে পারে।
  • খাবারের বিচি বা কঠিন বস্তু: পেয়ারা, জলপাই, শুকনো মরিচ ইত্যাদির বিচির ওপর চাপ পড়লে দাঁত ফেটে যেতে পারে।
  • দাঁতের ক্ষয়রোগ (ডেন্টাল ক্যারিজ): দীর্ঘদিন ধরে দাঁতে ক্ষয় হলে এটি ভঙ্গুর হয়ে পড়ে এবং অল্প চাপেই ভেঙে যেতে পারে।
  • বয়সজনিত দুর্বলতা: বয়স বাড়ার সঙ্গে সঙ্গে দাঁতের এনামেল ক্ষয় হয় এবং দাঁত দুর্বল হয়ে যায়, ফলে এটি সহজেই ফেটে বা ভেঙে যেতে পারে।
  • অতিরিক্ত টুথপাউডার বা ক্ষয়কারী টুথপেস্ট ব্যবহার: যেসব টুথপেস্টে উচ্চমাত্রার ঘর্ষণকারী উপাদান থাকে বা যারা নিয়মিত টুথপাউডার ব্যবহার করেন, তাদের দাঁতের এনামেল ক্ষতিগ্রস্ত হতে পারে, যা দাঁতের ভঙ্গুরতা বাড়িয়ে দেয়।
  • রাতে দাঁত ঘষার অভ্যাস (ব্রুক্সিজম): অনেকের ঘুমের মধ্যে দাঁত ঘষার প্রবণতা থাকে, যা দীর্ঘদিন ধরে দাঁত দুর্বল করে দেয় এবং দাঁত ভেঙে যেতে পারে।

  • দাঁতে হঠাৎ ব্যথা বা সংবেদনশীলতা বৃদ্ধি: এটি দাঁতের ক্ষয়, সংক্রমণ বা মাড়ির সমস্যার লক্ষণ হতে পারে। প্রাথমিক পর্যায়ে ফ্লোরাইডযুক্ত টুথপেস্ট ব্যবহার করুন এবং দ্রুত ডেন্টিস্টের পরামর্শ নিন।
  • খাবার চিবানোর সময় ব্যথা অনুভব হওয়া: দাঁতের ফাটল, ক্যাভিটি বা সংক্রমণের কারণে চিবানোর সময় ব্যথা হতে পারে। এটি উপেক্ষা করলে সমস্যাটি আরও বাড়তে পারে, তাই চিকিৎসকের পরামর্শ নেওয়া জরুরি।/li>
  • দাঁতে শিরশির ভাব বা ঠান্ডা-গরমে বেশি সংবেদনশীলতা: দাঁতের এনামেল ক্ষয়ে গেলে বা মাড়ির সংকোচন হলে সংবেদনশীলতা বেড়ে যায়। সংবেদনশীল দাঁতের জন্য বিশেষ টুথপেস্ট ব্যবহার করুন এবং ডেন্টিস্টের পরামর্শ নিন।
  • ভাঙা অংশে ধারালো প্রান্ত তৈরি হওয়া, যা জিহ্বা বা ঠোঁট কেটে দিতে পারে: ভাঙা দাঁত জিহ্বা বা ঠোঁট কেটে ফেলতে পারে, যা ইনফেকশনের ঝুঁকি বাড়ায়। দাঁত ভেঙে গেলে দেরি না করে ডেন্টিস্টের শরণাপন্ন হন।
...
দাঁত ভাঙার চিকিৎসা!

দাঁত ভেঙে গেলে দ্রুত সঠিক পদক্ষেপ নেওয়া অত্যন্ত গুরুত্বপূর্ণ। প্রথমেই ভাঙা দাঁতের টুকরো থাকলে তা সংরক্ষণ করুন এবং কুসুম গরম পানিতে কুলি করে মুখ পরিষ্কার করুন। ব্যথা হলে বরফের টুকরো দিয়ে ঠাণ্ডা সেঁক দিন। ছোটখাট ফাটল থাকলে ডেন্টাল বন্ডিং বা ফিলিং দিয়ে ঠিক করা যায়, তবে বড় ভাঙনের ক্ষেত্রে ক্রাউন বা ক্যাপ লাগানো হতে পারে। যদি দাঁতের নার্ভ প্রকাশিত হয়, তবে রুট ক্যানাল থেরাপি লাগতে পারে। পুরোপুরি ভেঙে গেলে ডেন্টাল ইমপ্লান্ট বা ব্রিজ লাগানোর প্রয়োজন হতে পারে। দ্রুত ডেন্টিস্টের পরামর্শ নেওয়াই সেরা উপায়।

Last updated 1/1/2025

  • ক্যাপ বা ক্রাউন লাগানো: ভাঙা দাঁত ঠিক করার জন্য সবচেয়ে কার্যকর উপায় হলো ক্যাপ লাগানো। এটি ধাতু, সিরামিক বা পোরসেলিন দিয়ে তৈরি করা হয় এবং দাঁতের স্বাভাবিক আকৃতি ফিরিয়ে আনে।
  • ভেনিয়ার বা কম্পোজিট ফিলিং: সামনের দাঁত ভেঙে গেলে, এটি ঠিক করার জন্য ভেনিয়ার বা কম্পোজিট ফিলিং ব্যবহার করা যেতে পারে। এটি দেখতে স্বাভাবিক দাঁতের মতোই লাগে এবং দীর্ঘস্থায়ী সমাধান দেয়।
  • রুট ক্যানেল চিকিৎসা: যদি দাঁতের ভাঙা অংশে সংক্রমণ ঘটে, তাহলে রুট ক্যানেল করা হয়। এটি দাঁতের ভেতরের সংবেদনশীল অংশ (পাল্প) পরিষ্কার করে সংক্রমণমুক্ত করে এবং ফিলিং দিয়ে পূরণ করা হয়।
  • ডেন্টাল ইমপ্লান্ট: যদি দাঁত এতটাই ক্ষতিগ্রস্ত হয় যে এটি সংরক্ষণ করা সম্ভব না, তাহলে ডেন্টাল ইমপ্লান্ট স্থাপন করা হয়। এটি একটি স্থায়ী ও কার্যকর সমাধান।
  • ফিলিং বা বন্ডিং: যদি দাঁতে বড় ধরনের ভাঙন না থাকে এবং ব্যথাও না হয়, তাহলে ফিলিং করা সবচেয়ে নিরাপদ ও কার্যকর পদ্ধতি।

দাঁত ভাঙলে করণীয়

  • দ্রুত একজন দন্ত চিকিৎসকের পরামর্শ নেওয়া।
  • ভাঙা দাঁত দিয়ে চিবানো বা অতিরিক্ত চাপ প্রয়োগ এড়িয়ে চলা।
  • ঠান্ডা বা গরম খাবার থেকে বিরত থাকা, কারণ এটি সংবেদনশীলতা বাড়াতে পারে।
  • ব্যথা হলে বরফ সেক বা পেইন কিলার (চিকিৎসকের পরামর্শ অনুযায়ী) গ্রহণ করা।

দাঁত আমাদের সৌন্দর্য ও স্বাস্থ্যের একটি গুরুত্বপূর্ণ অংশ। তাই দাঁত ভেঙে গেলে অবহেলা না করে দ্রুত সঠিক চিকিৎসা গ্রহণ করা উচিত। এতে শুধু ব্যথা ও সংক্রমণের ঝুঁকি কমবে না, বরং সুন্দর ও সুস্থ দাঁতের নিশ্চয়তা পাওয়া যাবে।

Namira Oro Dental Care - এ আমরা সর্বোচ্চ যত্ন এবং মনোযোগের সঙ্গে ~ ভাঙ্গা দাঁতের এবং অন্যান্য ডেন্টাল ট্রিটমেন্ট প্রদান করি। আমাদের সেবার ধাপগুলো:

  1. প্রাথমিক পর্যবেক্ষণ: রোগীর দাঁত এবং চোয়ালের সমস্যা পর্যালোচনা।
  2. পরামর্শ প্রদান: কোন ট্রিটমেন্ট প্রয়োজন, কতদিন লাগবে, খরচ এবং সম্ভাব্য ঝুঁকি সম্পর্কে বিস্তারিত আলোচনা।
  3. রোগীর মতামত: রোগীর সম্মতি নিয়ে ট্রিটমেন্ট শুরু।
  4. নিরাপদ এবং মানসম্মত সেবা: সর্বোচ্চ পেশাদারিত্বে প্রতিটি ধাপ সম্পন্ন করা।
Namira Oro Dental Care Bogura: দাঁতের সেবায় বগুড়ার সেরা Dental Care

আপনার দাঁতের যে কোনো সমস্যার জন্য নির্ভরযোগ্য ও আধুনিক চিকিৎসার ঠিকানা Namira Oro Dental Care আমরা সর্বোচ্চ মানের সেবা নিশ্চিত করতে প্রতিশ্রুতিবদ্ধ এবং প্রতিটি রোগীর জন্য কাস্টমাইজড ট্রিটমেন্ট প্ল্যান প্রদান করে থাকি। আমাদের অভিজ্ঞ অর্থোডন্টিস্ট এবং বিশেষজ্ঞ চিকিৎসক দল প্রতিটি রোগীর জন্য উন্নতমানের পরিষেবা ও যথাযথ সমাধান প্রদান করেন।

  • আমাদের সেবা সমূহঃ
  1. ফিক্সড ব্রেসেসের মাধ্যমে আঁকাবাঁকা দাঁত সোজা করা।
  2. ইনভিজালাইন (অদৃশ্য ব্রেসেস) ব্যবহার করে দাঁত সোজা করা।
  3. রিটেইনার ব্যবহার করে দাঁতের অবস্থান স্থায়ী করা।
  1. হারানো দাঁতের স্থানে প্রাকৃতিক দাঁতের মতো ইমপ্ল্যান্ট স্থাপন।
  2. টাইটানিয়াম ইমপ্ল্যান্ট ব্যবহার করে দাঁতের স্থায়ী সমাধান।
  1. দাঁতের অভ্যন্তরীণ সংক্রমণ বা ক্ষতির চিকিৎসা।
  2. দাঁতের শিকড় পরিষ্কার ও সিল করা।
  1. ক্ষতিগ্রস্ত দাঁতের উপর ক্যাপ স্থাপন।
  2. হারানো দাঁতের স্থানে ব্রীজ ব্যবহার করে দাঁত পুনঃস্থাপন।
  1. স্বাভাবিক দাঁতের মতো ব্যবহারযোগ্য নরম ডেনচার।
  2. আরামদায়ক এবং টেকসই সমাধান।
  1. সাধারণ পদ্ধতিতে দাঁত উঠানো।
  2. সার্জিকেল পদ্ধতিতে জটিল দাঁত উঠানো।
  1. লাইট কিউর ফিলিং: আধুনিক পদ্ধতিতে দাঁতের গর্ত ভরাট করা।
  2. কম্পোজিট ফিলিং: প্রাকৃতিক রঙের ফিলিং ব্যবহার করে দাঁতের সৌন্দর্য বজায় রাখা।
  1. দাঁতের প্লাক ও টার্টার পরিষ্কার করা।
  2. দাঁত মসৃণ ও উজ্জ্বল করা।
  1. লেজার টুথ হোয়াইটেনিং: দ্রুত ও কার্যকরী পদ্ধতি।
  2. হোম ব্লিচিং: ঘরে বসে দাঁত সাদা করার পদ্ধতি।
  1. মাড়ির রোগ (জিনজিভাইটিস, পেরিওডোন্টাইটিস) চিকিৎসা।
  2. মুখের ক্ষত ও ঘা এর চিকিৎসা।
  1. দাঁত ও মুখ গহব্বরের টিউমার ও সিস্ট অপসারণ।
  2. জটিল দাঁত উঠানো ও সার্জিকেল চিকিৎসা।
  1. শিশুদের দাঁতের যত্ন ও চিকিৎসা।
  2. ফ্লোরাইড ট্রিটমেন্ট ও সিলান্ট প্রয়োগ।
  1. আকস্মিক দাঁতের ব্যথা বা আঘাতের চিকিৎসা।
  2. দাঁত ভেঙে গেলে বা পড়ে গেলে তাৎক্ষণিক সমাধান।
  • আমাদের ডেন্টাল বিশেষজ্ঞঃ
...
Namira Oro Dental Care Bogura

আমাদের প্রধান ডেন্টাল সার্জন ডা. শামস-উল ইসলাম (জাকারিয়া) , যিনি অত্যন্ত অভিজ্ঞ এবং দক্ষ একজন বিশেষজ্ঞ।

  • ডিগ্রি: বিডিএস (রংপুর ডেন্টাল কলেজ), পিজিটি (ঢাকা ডেন্টাল কলেজ)।
  • বিশেষ দক্ষতা: অর্থোডন্টিক ট্রিটমেন্ট, ডেন্টাল ইমপ্ল্যান্ট, এবং ম্যাক্সিলোফেসিয়াল সার্জারিতে বিশেষ প্রশিক্ষণপ্রাপ্ত।
  • রেজিস্ট্রেশন নং: বিএমডিসি-৯৪৮৯
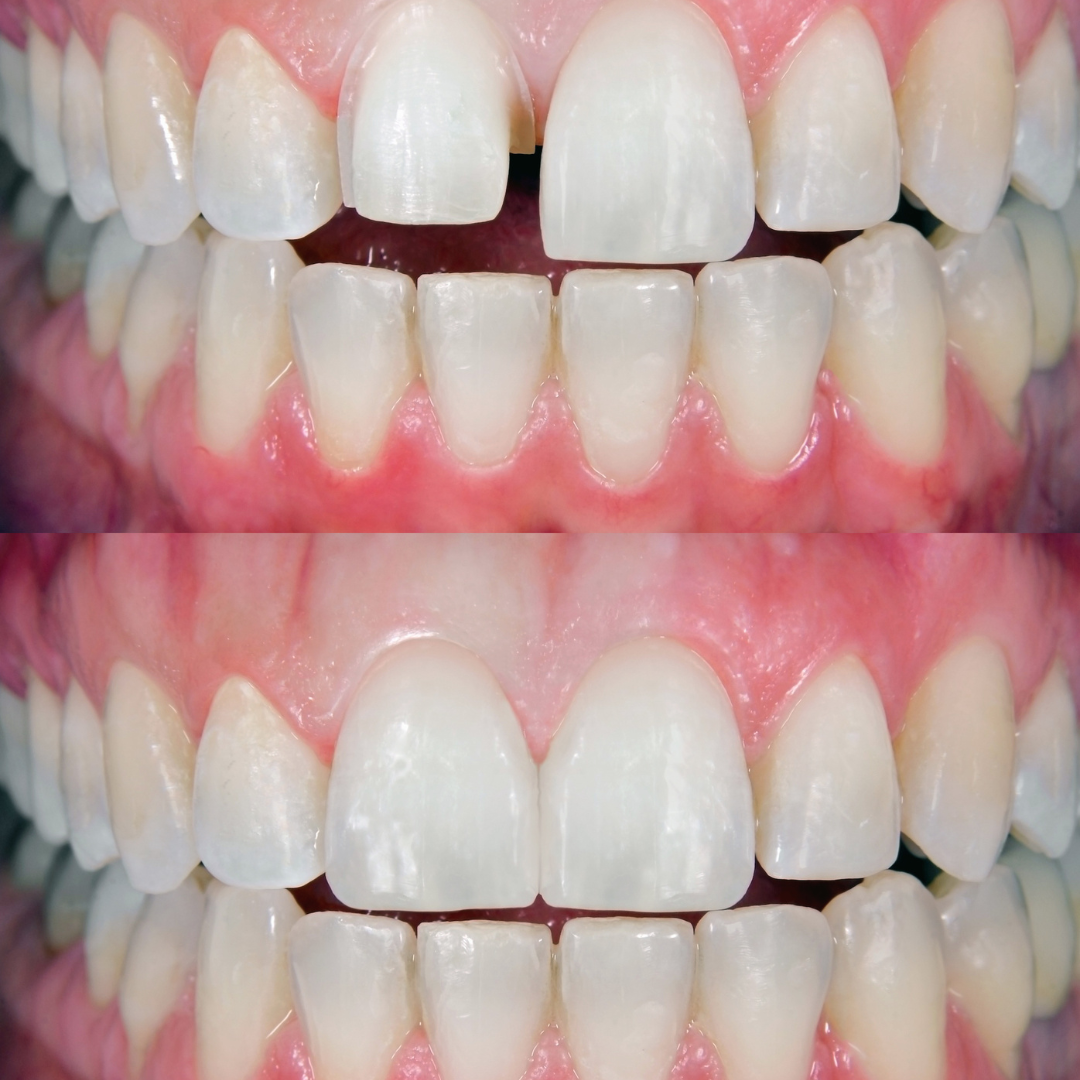
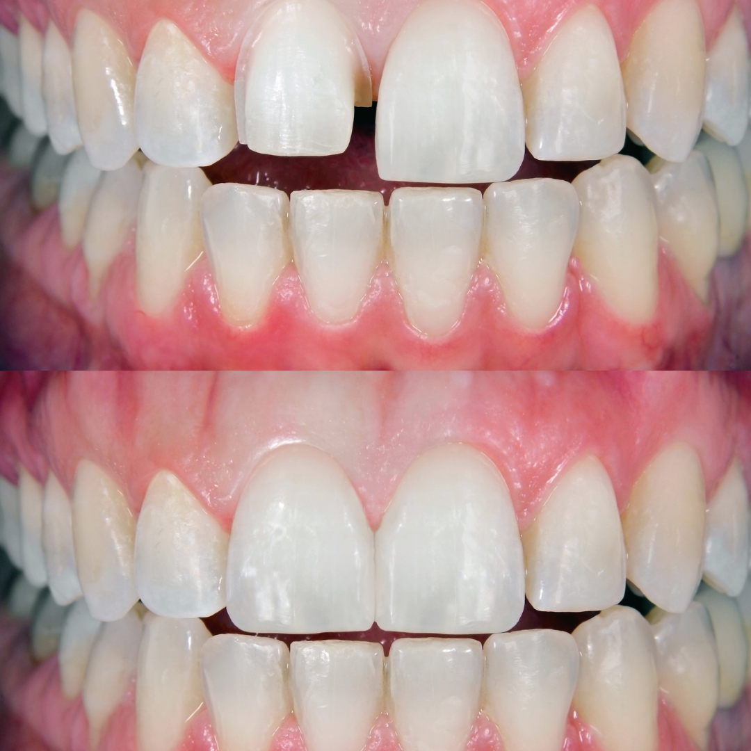
বন্ডিং ট্রিটমেন্ট একটি দাঁতের পুনর্গঠন প্রক্রিয়া!

যা বিশেষ টুথ-কালার রেজিন ব্যবহার করে দাঁতের ফাটল, ক্ষয়, চিপ বা রঙ পরিবর্তন মেরামত করে। এটি দাঁতের ফাঁক বন্ধ করতেও সাহায্য করে।

// Understanding 20 Common Dental Procedures //

Dental Check-ups and Cleaning

Regular dental check-ups form the basis of dental care, involving a detailed examination of the teeth, gums, and mouth.

Oral Cancer Screening

This is a crucial part of a dental check-up.

  • 01 Jan 2025
Fluoride Treatment

To strengthen teeth and prevent decay.

  • 01 jan 2025
Digital X-rays

X-rays are essential in dentistry to detect problems not visible to the naked eye. Digital X-rays, an advancement over traditional methods, use less radiation and provide immediate.

Wisdom Teeth Management

Wisdom teeth, or third molars, often emerge in the

  • 01 Jan 2025
Inlays and Onlays

Also known as indirect fillings, these treatments

  • 01 Jan 2025

// Namira Oro Dental Care Bogura //

// The Different Types of Dental Treatments //

Preventative Dental Treatments

Preventative dental treatments aim to prevent dental problems from occurring in the first place.

Restorative Dental Treatments

Restorative dental treatments aim to restore damaged or decayed teeth to their natural function and appearance.

Cosmetic Dental Treatments

Cosmetic dental treatments aim to improve the appearance of teeth and give patients a more attractive smile.

Orthodontic Dental Treatments

Orthodontic dental treatments aim to straighten teeth and improve bite function. Here are some common orthodontic dental treatments: