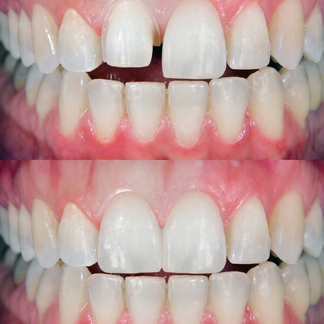
বন্ডিং ট্রিটমেন্ট একটি দাঁতের পুনর্গঠন প্রক্রিয়া!
যা বিশেষ টুথ-কালার রেজিন ব্যবহার করে দাঁতের ফাটল, ক্ষয়, চিপ বা রঙ পরিবর্তন মেরামত করে। এটি দাঁতের ফাঁক বন্ধ করতেও সাহায্য করে।
ডেন্টিস্টরা শুধুমাত্র দাঁতের চিকিৎসা করেন না, বরং মুখের স্বাস্থ্য পর্যবেক্ষণ করে ওরাল ক্যান্সারের প্রাথমিক লক্ষণগুলোও শনাক্ত করতে পারেন। প্রাথমিক পর্যায়ে এই রোগ নির্ণয় করা গেলে চিকিৎসা সহজ হয় এবং রোগী সুস্থ হওয়ার সম্ভাবনাও অনেক বেশি থাকে। তাই, নিয়মিত ডেন্টাল চেকআপ করানো অত্যন্ত গুরুত্বপূর্ণ।
ওরাল ক্যান্সার সাধারণত মুখের টিস্যুর কোষে ডিএনএ পরিবর্তনের (মিউটেশন) কারণে হয়। এই পরিবর্তন কোষকে অস্বাভাবিকভাবে বৃদ্ধি ও বিভাজিত হতে সহায়তা করে, যার ফলে একটি টিউমার তৈরি হয়। নিচে ওরাল ক্যান্সারের কিছু সাধারণ কারণ দেওয়া হলো—
ওরাল ক্যান্সারের কিছু সাধারণ লক্ষণ রয়েছে, যা দ্রুত চিকিৎসকের পরামর্শ নেওয়ার প্রয়োজনীয়তা নির্দেশ করে।
এই লক্ষণগুলো যদি দীর্ঘ সময় ধরে স্থায়ী হয়, তবে দ্রুত চিকিৎসকের পরামর্শ নেওয়া জরুরি।
ওরাল ক্যান্সারের বিভিন্ন ধরন রয়েছে, যা মুখের বিভিন্ন অংশে বিকাশ লাভ করতে পারে। এর মধ্যে প্রধান কয়েকটি হলো—
ওরাল ক্যান্সারের চারটি প্রধান পর্যায় রয়েছে—
প্রাথমিক পর্যায়ে ওরাল ক্যান্সার শনাক্ত করা গেলে চিকিৎসার সফলতার হার অনেক বেশি থাকে।
ওরাল ক্যান্সারের চিকিৎসা নির্ভর করে ক্যান্সারের অবস্থান, ধরন ও পর্যায়ের ওপর। সাধারণত নিম্নলিখিত চিকিৎসা পদ্ধতিগুলো অনুসরণ করা হয়—
ওরাল ক্যান্সারের ঝুঁকি কমাতে কিছু প্রতিরোধমূলক ব্যবস্থা গ্রহণ করা যেতে পারে—
ওরাল ক্যান্সার একটি মারাত্মক রোগ হলেও, এটি প্রাথমিক পর্যায়ে শনাক্ত করা গেলে চিকিৎসার সফলতার হার অনেক বেশি থাকে। এজন্য নিয়মিত ডেন্টাল চেকআপ করা ও ওরাল হাইজিন বজায় রাখা অত্যন্ত গুরুত্বপূর্ণ। যদি আপনি মুখে কোনো অস্বাভাবিক পরিবর্তন লক্ষ্য করেন, তবে দেরি না করে দ্রুত ডেন্টিস্ট বা ক্যান্সার বিশেষজ্ঞের পরামর্শ নিন।
👉 আপনার শেষ ডেন্টাল চেকআপ কবে করিয়েছেন? দেরি না করে আজই আমাদের সাথে যোগাযোগ করুন! 😊
আমাদের প্রধান ডেন্টাল সার্জন ডা. শামস-উল ইসলাম (জাকারিয়া), যিনি অত্যন্ত অভিজ্ঞ এবং দক্ষ একজন বিশেষজ্ঞ।
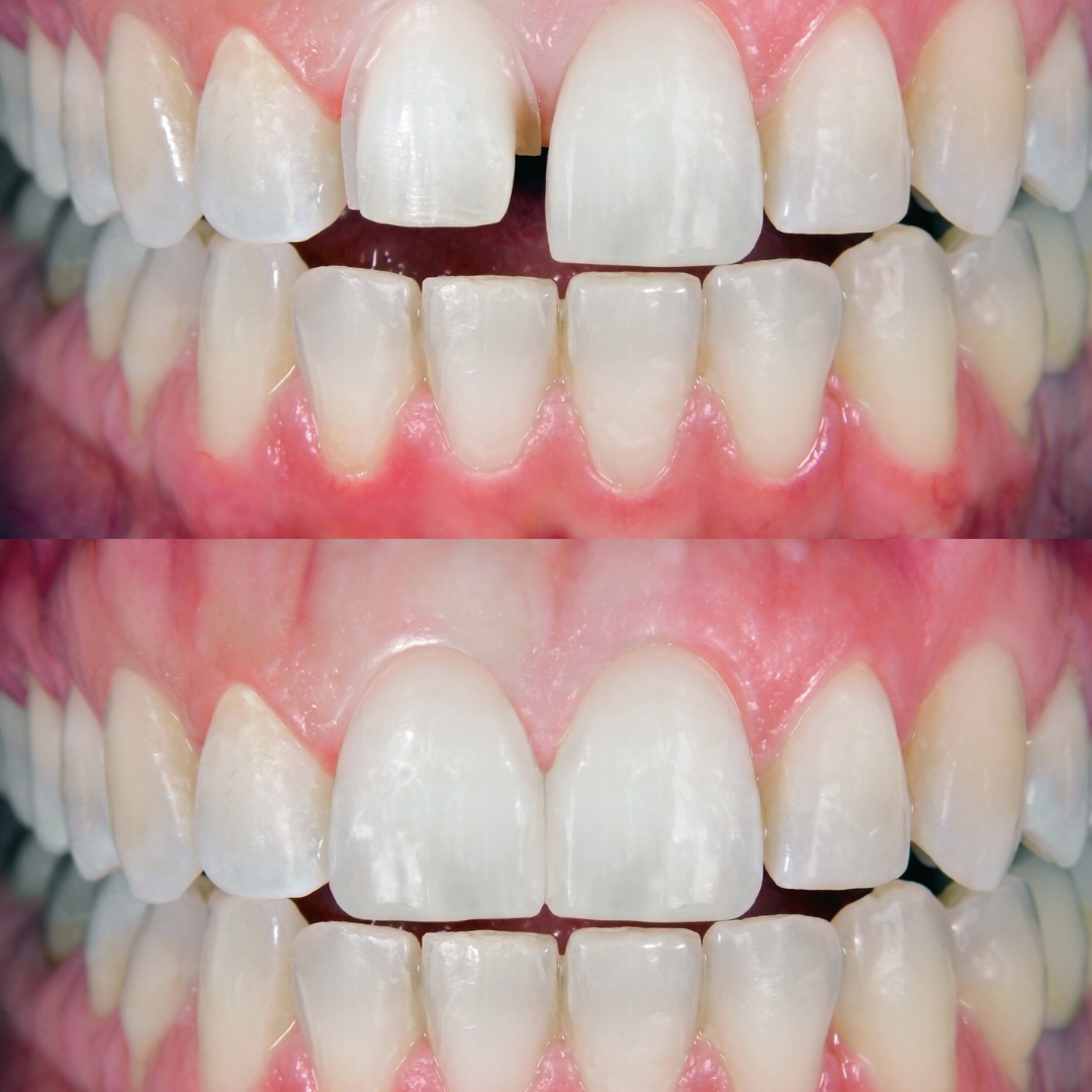
যা বিশেষ টুথ-কালার রেজিন ব্যবহার করে দাঁতের ফাটল, ক্ষয়, চিপ বা রঙ পরিবর্তন মেরামত করে। এটি দাঁতের ফাঁক বন্ধ করতেও সাহায্য করে।
Regular dental check-ups form the basis of dental care, involving a detailed examination of the teeth, gums, and mouth.
This is a crucial part of a dental check-up.
To strengthen teeth and prevent decay.
X-rays are essential in dentistry to detect problems not visible to the naked eye. Digital X-rays, an advancement over traditional methods, use less radiation and provide immediate.
Wisdom teeth, or third molars, often emerge in the
Also known as indirect fillings, these treatments
Preventative dental treatments aim to prevent dental problems from occurring in the first place.
Restorative dental treatments aim to restore damaged or decayed teeth to their natural function and appearance.
Cosmetic dental treatments aim to improve the appearance of teeth and give patients a more attractive smile.
Orthodontic dental treatments aim to straighten teeth and improve bite function. Here are some common orthodontic dental treatments: