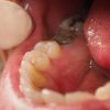
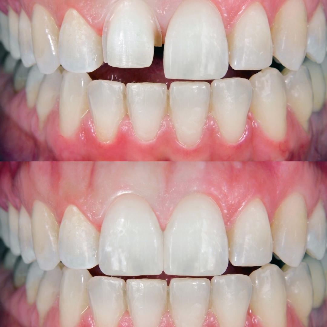
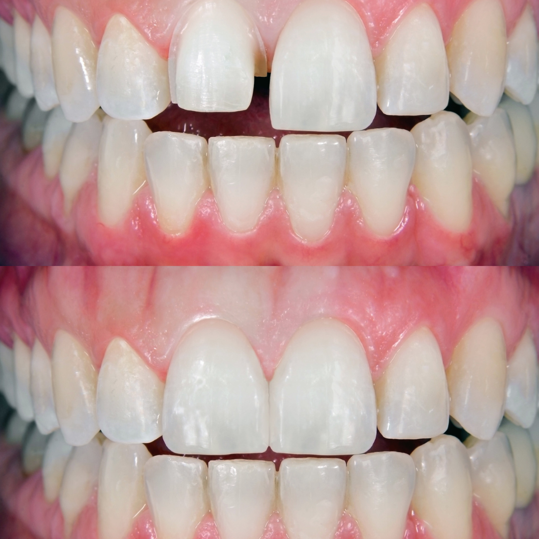
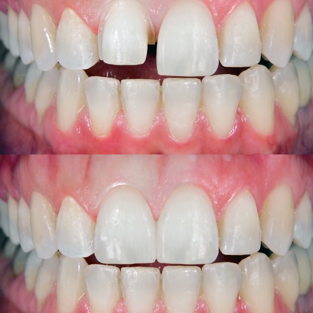
বন্ডিং ট্রিটমেন্ট একটি দাঁতের পুনর্গঠন প্রক্রিয়া!
যা বিশেষ টুথ-কালার রেজিন ব্যবহার করে দাঁতের ফাটল, ক্ষয়, চিপ বা রঙ পরিবর্তন মেরামত করে। এটি দাঁতের ফাঁক বন্ধ করতেও সাহায্য করে।
ডিজিটাল এক্স-রে হল এমন একটি ইমেজিং প্রযুক্তি যেখানে রেডিওগ্রাফিক ডিটেক্টরের মাধ্যমে এক্স-রে রশ্মি ধরে কম্পিউটারে উচ্চ-মানের ছবি তৈরি করা হয়। এটি ঐতিহ্যবাহী ফিল্ম-ভিত্তিক এক্স-রের তুলনায় দ্রুত এবং কার্যকর।
ডিজিটাল এক্স-রে প্রধানত দুই ধরনের হয়ে থাকে:
ডিজিটাল এক্স-রে চিকিৎসা ও দন্তচিকিৎসার বিভিন্ন ক্ষেত্রে ব্যাপকভাবে ব্যবহৃত হয়। নিচে এর কিছু ব্যবহার উল্লেখ করা হলো:
ডিজিটাল এক্স-রের মাধ্যমে নানান সুবিধা পাওয়া যায়, যেমন:
ডিজিটাল এক্স-রে ব্যবহারের কিছু সীমাবদ্ধতাও রয়েছে, যেমন:
ডিজিটাল এক্স-রে এবং প্রচলিত এক্স-রের মধ্যে কিছু উল্লেখযোগ্য পার্থক্য রয়েছে:
| বিষয় | ডিজিটাল এক্স-রে | প্রচলিত এক্স-রে | 
|---|---|---|
| ইমেজ কোয়ালিটি | উন্নতমানের, উচ্চ রেজোলিউশন | তুলনামূলকভাবে কম স্পষ্ট | 
| রেডিয়েশন | ৮০% পর্যন্ত কম | বেশি রেডিয়েশন ব্যবহার করে | 
| প্রসেসিং টাইম | কয়েক সেকেন্ড | ৫-১০ মিনিট লাগে | 
| সংরক্ষণ | সহজে ডিজিটালভাবে সংরক্ষণ করা যায় | ফিল্ম সংরক্ষণ করা কঠিন | 
| পরিবেশবান্ধব | রাসায়নিক মুক্ত | ক্ষতিকর রাসায়নিক ব্যবহৃত হয় | 
ডিজিটাল এক্স-রে আধুনিক চিকিৎসা ক্ষেত্রে বিপ্লব এনেছে। এটি রোগ নির্ণয়ে আরও নির্ভুলতা, নিরাপত্তা এবং গতি নিশ্চিত করেছে। উন্নতমানের ইমেজিং এবং কম রেডিয়েশন একে ভবিষ্যতের চিকিৎসা প্রযুক্তির অন্যতম সেরা উদ্ভাবন করেছে। তাই, চিকিৎসা ক্ষেত্রে উন্নত মানের রোগ নির্ণয়ের জন্য ডিজিটাল এক্স-রে বেছে নেওয়াই সেরা সিদ্ধান্ত।
আপনার স্বাস্থ্য সুরক্ষায়, আধুনিক প্রযুক্তির সঙ্গে থাকুন! 😊
 
                                            আমাদের প্রধান ডেন্টাল সার্জন ডা. শামস-উল ইসলাম (জাকারিয়া), যিনি অত্যন্ত অভিজ্ঞ এবং দক্ষ একজন বিশেষজ্ঞ।
যা বিশেষ টুথ-কালার রেজিন ব্যবহার করে দাঁতের ফাটল, ক্ষয়, চিপ বা রঙ পরিবর্তন মেরামত করে। এটি দাঁতের ফাঁক বন্ধ করতেও সাহায্য করে।
Regular dental check-ups form the basis of dental care, involving a detailed examination of the teeth, gums, and mouth.
This is a crucial part of a dental check-up.
To strengthen teeth and prevent decay.
X-rays are essential in dentistry to detect problems not visible to the naked eye. Digital X-rays, an advancement over traditional methods, use less radiation and provide immediate.
Wisdom teeth, or third molars, often emerge in the
Also known as indirect fillings, these treatments
Preventative dental treatments aim to prevent dental problems from occurring in the first place.
Restorative dental treatments aim to restore damaged or decayed teeth to their natural function and appearance.
Cosmetic dental treatments aim to improve the appearance of teeth and give patients a more attractive smile.
Orthodontic dental treatments aim to straighten teeth and improve bite function. Here are some common orthodontic dental treatments: